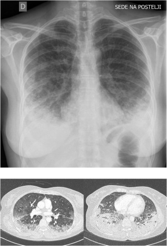
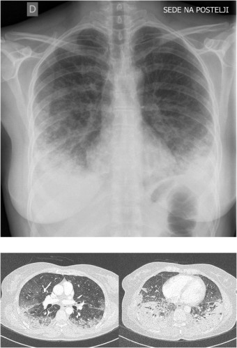
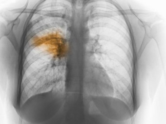
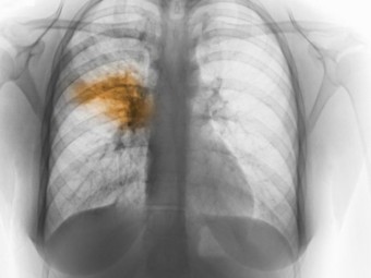
급성 폐렴은 폐 조직에 급성으로 염증이 발생하는 질환으로, 다양한 원인에 의해 발생하며 증상과 경과가 다양합니다. 이 글에서는 급성 폐렴의 증상, 원인, 치료 기간, 예방법에 대해 자세히 알아보겠습니다.
급성 폐렴의 증상
급성 폐렴의 증상은 원인 병원체와 환자의 상태에 따라 다를 수 있지만, 일반적으로 다음과 같은 증상이 나타납니다.
기침과 가래 : 기침은 폐렴의 대표적인 증상으로, 초기에는 마른기침으로 시작하여 점차 가래가 동반될 수 있습니다. 가래는 노란색 또는 녹색을 띠며, 때로는 피가 섞이기도 합니다.
발열과 오한 : 갑작스러운 고열과 함께 오한이 나타날 수 있습니다. 특히 38도 이상의 고열이 지속되면 폐렴을 의심해볼 수 있습니다.
흉통 : 깊은 숨을 들이쉴 때나 기침할 때 가슴 부위에 통증을 느낄 수 있습니다. 이는 폐를 둘러싼 늑막에 염증이 생겨 발생하는 증상입니다.
호흡곤란 : 호흡 시 숨이 차거나 곤란함을 느낄 수 있으며, 이는 폐의 염증으로 인해 산소 교환이 원활하지 않기 때문입니다.
전신 증상 : 피로감, 두통, 식욕 부진, 근육통 등의 전신 증상이 동반될 수 있습니다.
노인이나 면역력이 약한 환자에서는 이러한 증상이 뚜렷하지 않을 수 있으며, 혼란이나 의식 저하 등의 비특이적인 증상으로 나타날 수 있습니다.



급성 폐렴의 원인
급성 폐렴은 다양한 병원체에 의해 발생하며, 주요 원인은 다음과 같습니다.
세균 감염 : 폐렴구균, 황색포도상구균, 헤모필루스 인플루엔자 등 여러 세균이 폐렴의 원인이 될 수 있습니다. 특히 폐렴구균은 세균성 폐렴의 가장 흔한 원인으로 알려져 있습니다.
바이러스 감염 : 인플루엔자 바이러스, 코로나바이러스, 호흡기 세포융합 바이러스(RSV) 등이 폐렴을 유발할 수 있습니다. 바이러스성 폐렴은 특히 어린이와 노인에서 흔하게 발생합니다.
곰팡이 감염 : 면역력이 저하된 환자에서 아스페르길루스나 히스토플라스마와 같은 곰팡이가 폐렴을 일으킬 수 있습니다.
기타 원인 : 흡인성 폐렴은 음식물이나 구토물이 기도로 들어가 폐에 염증을 일으키는 경우로, 의식 저하나 연하 곤란이 있는 환자에서 발생할 수 있습니다.
급성 폐렴의 치료 기간
급성 폐렴의 치료 기간은 원인 병원체, 환자의 상태, 합병증 유무 등에 따라 다르지만, 일반적으로 다음과 같이 진행됩니다.
경증 폐렴 : 입원이 필요하지 않은 경증 폐렴의 경우, 경구 항생제를 사용하며 치료 기간은 보통 5~7일 정도입니다.
중등도 이상 폐렴 : 입원이 필요한 경우에는 정맥 주사로 항생제를 투여하며, 치료 기간은 7~10일 이상이 될 수 있습니다.
특수한 경우 : 폐농양이나 늑막염 등의 합병증이 동반된 경우, 치료 기간이 더 길어질 수 있으며, 2주 이상 항생제 치료가 필요할 수 있습니다.
항생제 치료는 최소 5일 이상 지속되어야 하며, 치료 종료를 위해서는 48~72시간 동안 발열이 없어야 하고, 임상 증상이 호전되어야 합니다. 환자의 상태에 따라 치료 기간은 유동적일 수 있으므로, 의료진의 지시에 따라야 합니다.



급성 폐렴의 예방법
급성 폐렴을 예방하기 위해서는 다음과 같은 방법들이 권장됩니다.
예방 접종 : 폐렴구균 백신과 인플루엔자 백신을 접종하여 폐렴의 주요 원인 병원체에 대한 면역력을 강화할 수 있습니다. 특히 65세 이상 노인, 만성 질환자, 면역 저하자 등 고위험군에서는 예방 접종이 더욱 중요합니다.
개인 위생 관리 : 손 씻기, 기침 예절 준수 등 기본적인 개인 위생 수칙을 철저히 지켜야 합니다.
금연: 흡연은 폐의 방어 기능을 저하시켜 폐렴의 위험을 높입니다. 금연을 통해 폐렴 발생 위험을 감소시킬 수 있습니다.
건강한 생활 습관 : 균형 잡힌 식사, 규칙적인 운동, 충분한 수면 등을 통해 면역력을 강화하여 폐렴을 예방할 수 있습니다.



환경 관리 : 겨울철에는 실내 공기 질을 유지하고, 환기를 자주 시켜야 합니다. 또한, 사람 많은 곳이나 환기가 잘 되지 않는 장소는 피하는 것이 좋습니다.
급성 폐렴은 조기에 발견하여 적절한 치료를 받는 것이 중요합니다. 위의 예방법을 실천하여 폐렴을 예방하고, 증상이 나타날 경우 즉시 의료 전문가와 상담하시기 바랍니다.
2025 전기차 보조금, 전기차 지원금 2월 3일부터 신청
2025년 전기차 보조금 정책은 전기차 구매를 고려하는 소비자들에게 중요한 정보입니다. 정부의 친환경 정책과 전기차 보급 확대를 위한 지원이 지속되고 있지만, 보조금 정책은 매년 변경될 수
auction-eer.com
2025년 달라진 청년도약계좌 가입조건, 신청기간, 신청방법 가이드
청년도약계좌는 대한민국 정부가 청년들의 중장기 자산 형성을 지원하기 위해 도입한 금융 상품입니다. 이 계좌를 통해 청년들은 매월 일정 금액을 적립하고, 정부의 기여금과 비과세 혜택을
auction-eer.com
문화누리카드 14만원 사용처, 잔액조회, 충전방법, 온라인사용처 안내
문화누리카드는 기초생활수급자와 차상위계층의 문화생활 향상과 문화 격차 해소를 위해 제공되는 카드로, 문화예술, 국내여행, 체육활동 등 다양한 분야에서 사용할 수 있습니다. 2025년에는 1
auction-eer.com
